多重免疫荧光TSA技术解析肿瘤免疫微环境
背景
癌症与宿主免疫系统的相互作用主要发生在肿瘤周围的反应性组织基质中,这一区域被称为肿瘤免疫微环境(TIME)。免疫检查点抑制剂的突破性临床应用,尤其是针对程序性死亡蛋白 1(PD-1,T 细胞共抑制受体)与程序性死亡配体 1(PD-L1,又名 B7-H1/CD274)的靶向疗法,不仅推动癌症免疫治疗进入新时代,更让 TIME 的功能解析成为科研与临床关注的核心。精准表征 TIME 的细胞组成、功能状态及分子互作网络,是筛选免疫治疗响应预测标志物的关键前提。而深入厘清 TIME 中各类免疫细胞的促癌 / 抗癌双重作用机制,及其与肿瘤细胞的动态关联,更能为开发新型免疫治疗策略提供核心支撑。然而,TIME 的高度异质性与低丰度免疫分子的检测难题,对传统分析技术提出严峻挑战,亟需高灵敏度、多重靶向的原位检测工具破解这一困境。

肿瘤微环境 (TME)[1]
优势
一百多年来,苏木精 - 伊红染色法(HE 染色)一直是病理医生在活检及手术样本显微镜检查中观察淋巴细胞、癌细胞核、腺体等组织结构的经典手段,其形态学特征为疾病分级与诊断提供关键依据。免疫组织化学(IHC)是雌激素受体、人表皮生长因子受体 2等临床标志物分析的常规方法,但两者在TIME研究中存在明显局限 ——HE 染色无法精准识别免疫细胞亚群及功能分子,标准 IHC 每张切片仅能检测一种标志物,难以捕捉 TIME 中多细胞互作与分子网络的复杂特征。近年来,基于酪胺信号放大(TSA)原理的多重免疫荧光技术(mIF)彻底突破了这一困境,该技术通过 “单一标志物抗体标记 - 辣根过氧化物酶(HRP)催化荧光团偶联酪酰胺分子与目标表位共价结合 - 洗脱抗体进行多轮循环染色” 的核心策略,结合多光谱成像显微镜扫描与 AI 图像分析,可在单张组织切片上同步检测 5-10 种标志物,不仅能精准识别 CD8⁺T 细胞、调节性 T 细胞、肿瘤相关巨噬细胞等免疫亚群,实现低丰度免疫检查点分子(如 PD-1/PD-L1)的高灵敏度检测,还能完整保留组织原位结构,量化细胞间空间邻近关系与互作模式,解决了传统技术难以同步获取 “细胞分型 - 功能表型 - 空间分布” 多维信息的难题,为解析 TIME 的免疫抑制机制、筛选免疫治疗响应标志物、发现三级淋巴结构(TLS)等关键功能区域提供了强有力的技术支撑,成为肿瘤免疫研究与精准诊疗转化的核心工具。
案例
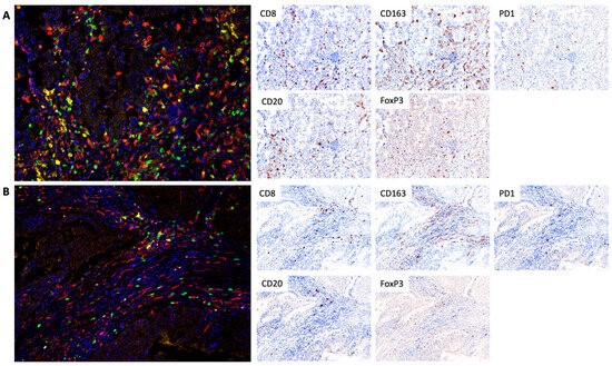
采用TSA多重免疫荧光技术,Maltseva等人系统分析了免疫治疗响应组与无响应组患者的 TIME 免疫细胞组成及PD-1表达特征。该研究通过 inForm表型分析软件,实现了细胞的精准识别与分类,保障了数据分析的客观性与高效性。实验选用针对性抗体组合CD8、PD-1、CD20、CD163及FoxP3抗体,分别靶向细胞毒性 T 淋巴细胞、免疫检查点分子、B 淋巴细胞、促肿瘤表型巨噬细胞及调节性 T 细胞,细胞核经 DAPI 染色后用抗荧光淬灭封片剂处理以维持信号稳定性。定量分析阶段,在 200 倍放大倍数下选取 10 个代表性视野,统计上述免疫细胞占肿瘤结节内基质总细胞的百分比(不含肿瘤细胞的周围基质及三级淋巴结构),并通过多色标记(CD8⁺细胞绿色、CD20⁺细胞黄色、CD163⁺细胞红色、Treg 细胞橙色、PD-1 表达白色、细胞核蓝色)直观呈现细胞浸润模式,同时借助 InForm 软件将单一标志物数据转化为免疫组化模拟图,进一步辅助结果解读。该研究通过 TSA 技术的高灵敏度与多重检测优势,清晰揭示了不同治疗响应组患者 TIME 的免疫景观差异,为免疫治疗响应标志物的筛选提供了直接实验依据,也印证了 TSA 多重免疫荧光技术在临床样本 TIME 深度解析中的核心应用价值。
![]()
![]()
![]()

图1 应答者(A)和无应答者(B)中CD8细胞毒性淋巴细胞、CD20 B淋巴细胞、FoxP3 调节性 T 细胞和CD163巨噬细胞的肿瘤浸润情况[2]。
在非小细胞肺癌(NSCLC)肿瘤免疫微环境研究中,Peng等人通过多重免疫荧光技术系统解析了肿瘤巢(TN)与肿瘤基质(TS)中 10 种免疫标志物的表达特征及互作关系。结果显示,TIME 内存在多组强相关性免疫细胞互作:基质区 CD20 阳性 B 细胞与基质区 CD4⁺CD38⁺T 细胞、中性粒细胞与 FOXP3 阳性细胞、基质区中性粒细胞与肿瘤内调节性 T 细胞、肿瘤内 CD38 阳性 T 细胞与肿瘤内 CD20 阳性 B 细胞、肿瘤内 CD8 阳性 T 细胞与肿瘤内表达 PD-L1 的 M2 型巨噬细胞、肿瘤内 PD-L1 阳性细胞与肿瘤内 CD8 阳性 T 细胞等。此外,研究还发现肿瘤内 CD133 阳性细胞与肿瘤内 M1 型巨噬细胞,尤其与不表达 PD-L1 的 M1 型巨噬细胞存在中度相关性。这表明肿瘤内巨噬细胞可能在介导 CD8⁺T 细胞耗竭型免疫应答中发挥作用。该研究通过多重免疫荧光技术的多重检测优势,清晰勾勒出 NSCLC 的 TIME 免疫景观及细胞互作网络,为后续机制探究与治疗靶点筛选提供了重要参考。

图2 非小细胞肺癌中 10 种免疫标志物的表达谱。图中分别展示了单独及合并的免疫荧光图像,以及病理切片[3]。
在组织芯片(TMA)研究中,Mori等人通过优化的多重免疫荧光方案(IP1 和 IP2)对支气管气道肿瘤及乳腺癌 TMA 样本进行染色。通过 inForm 软件完成多光谱图像解混与分析,同时生成模拟 DAB 显色的 “病理视图”以辅助结果判读。其中,IP1 方案可同步识别 TME 中 5 类细胞(CD3⁺T 细胞、CD20⁺B 细胞、CD3⁺FOXP3⁺调节性 T 细胞、CD117⁺CK⁻肥大细胞、CK⁺上皮 / 肿瘤细胞),结合 Ki67 染色可评估细胞增殖状态,通过 CD117 与 CK 的共定位还能区分不同细胞亚群。IP2 方案聚焦 4 类核心细胞(CD3⁺CD8⁻T 细胞、CD3⁺CD8⁺细胞毒性 T 细胞、CD68⁺巨噬细胞、CK⁺上皮 / 肿瘤细胞),并纳入 PD-1/PD-L1 免疫检查点分子检测,成功捕捉到乳腺癌样本中 PD-L1⁺CD68⁺巨噬细胞与 PD-1⁺T 细胞的共定位特征。该研究通过标准化 mIF 方案与 TMA 技术的结合,高效实现了多类型肿瘤样本 TME 细胞组成、功能状态及免疫分子互作的系统性解析,为高通量临床样本的 TIME 研究提供了可行路径。

图3 对人支气管气道活检组织芯片,采用 IP1(a)和 IP2(b)两套多重免疫荧光染色方案进行染色[4]。
Enkilife可以为客户提供TSA免疫组化及免疫荧光切片分析服务,包括阳性细胞数量分析、共定位分析、临近度分析、细胞密度分析、肿瘤细胞浸润分析等等。具体详询 TSA技术服务-EnkiLife
参考文献
1. Rojas F, Hernandez S, Lazcano R, Laberiano-Fernandez C, Parra ER. Multiplex Immunofluorescence and the Digital Image Analysis Workflow for Evaluation of the Tumor Immune Environment in Translational Research. Front Oncol. 2022 Jun 27;12:889886. doi: 10.3389/fonc.2022.889886. PMID: 35832550; PMCID: PMC9271766.
2. Maltseva A, Kalinchuk A, Chernorubashkina N, Sisakyan V, Lots I, Gofman A, Anzhiganova Y, Martynova E, Zukov R, Aleksandrova E, Kolomiets L, Tashireva L. Predicting Response to Immunotargeted Therapy in Endometrial Cancer via Tumor Immune Microenvironment: A Multicenter, Observational Study. Int J Mol Sci. 2024 Apr 1;25(7):3933. doi: 10.3390/ijms25073933. PMID: 38612743; PMCID: PMC11011874.
3. Peng H, Wu X, Zhong R, Yu T, Cai X, Liu J, Wen Y, Ao Y, Chen J, Li Y, He M, Li C, Zheng H, Chen Y, Pan Z, He J, Liang W. Profiling Tumor Immune Microenvironment of Non-Small Cell Lung Cancer Using Multiplex Immunofluorescence. Front Immunol. 2021 Nov 4;12:750046. doi: 10.3389/fimmu.2021.750046. PMID: 34804034; PMCID: PMC8600321.
4. Mori H, Bolen J, Schuetter L, Massion P, Hoyt CC, VandenBerg S, Esserman L, Borowsky AD, Campbell MJ. Characterizing the Tumor Immune Microenvironment with Tyramide-Based Multiplex Immunofluorescence. J Mammary Gland Biol Neoplasia. 2020 Dec;25(4):417-432. doi: 10.1007/s10911-021-09479-2. Epub 2021 Feb 15. PMID: 33590360; PMCID: PMC7960613.