抗体制备服务
服务介绍
抗体一般是由抗原刺激B细胞分化成浆细胞后产生的,能特异与对应抗原结合。多克隆抗体是指使用特定的抗原免疫动物,从而刺激动物的免疫系统产生抗体,这些抗体能够识别并结合到抗原上的多个表位,因此被称为多克隆抗体。单克隆抗体是将分泌抗体的细胞集分离成单个细胞后,对单个细胞进行扩增,从而获得的单一抗体即为单克隆抗体。这个单个细胞可以是杂交瘤细胞(无限增殖),也可以是B细胞,因B细胞不可无限增值,故需对B细胞测序后,从而表达重组抗体。
多抗优势:制备周期相对较短,成本较低,且能够识别多个表位
单抗优势:高度的特异性和均一性,在基础研究、药物开发、诊断试剂开发等多个领域中有着广泛的应用
实验流程
| ||
鼠单抗制备流程
| ||
| ||
| 兔单抗制备流程 | ||
服务内容
服务项目 | 服务内容 | 周期 | |
多抗制备 | 抗原制备 | 客户提供或恩玑制备 | 4-6周 |
动物免疫及血清收集 | 免疫新西兰大白兔,Elisa检测效价达标后采血 | 6-8周 | |
抗体纯化 | 抗原亲和纯化,检测抗体质量 | 1-2周 | |
鼠单抗制备 | 抗原制备 | 客户提供或恩玑制备 | 4-6周 |
免疫和Elisa效价检测 | 免疫BalB/C 小鼠,血清采集及效价检测 | 6-8周 | |
细胞融合和筛选 | 小鼠脾细胞与骨髓瘤细胞融合,HAT筛选及Elisa检测 | 2周 | |
亚克隆 | 筛选的阳性进行亚克隆和扩大培养 | 4-5周 | |
腹水生产 | 杂交瘤腹腔注射BalB/C 小鼠,制备腹水 | 2-3周 | |
抗体纯化 | proteinA/G 纯化腹水 | 1-2周 | |
其他增值服务可进一步咨询 | 抗体测序、抗体标记、抗体配对等 | 详询 | |
兔单抗制备 | 抗原制备 | 客户提供或恩玑制备 | 4-6周 |
免疫和Elisa效价检测 | 免疫新西兰大白兔,血清采集及效价检测 | 6-8周 | |
B细胞筛选 | B细胞流式分离筛选 | 1周 | |
单B细胞扩增验证 | 细胞扩增,ELISA assay | 1周 | |
抗体基因测序 | 高通量基因测序 | 1周 | |
抗体表达与纯化 | 质粒制备,瞬时转染表达,高通量、无内毒素纯化 | 2-4周 | |
其他增值服务可进一步咨询 | 抗体测序、抗体标记、抗体配对等 | 详询 |
交付内容
★ 剩余蛋白或多肽
★ 亚克隆后细胞株及对应细胞上清
★ 腹水或纯化后抗体
服务优势
★ 抗原设计经验丰富,质控节点精准把控
★ 根据客户需求,提供免费实验方案
★ 服务效率高,快速响应
案例展示
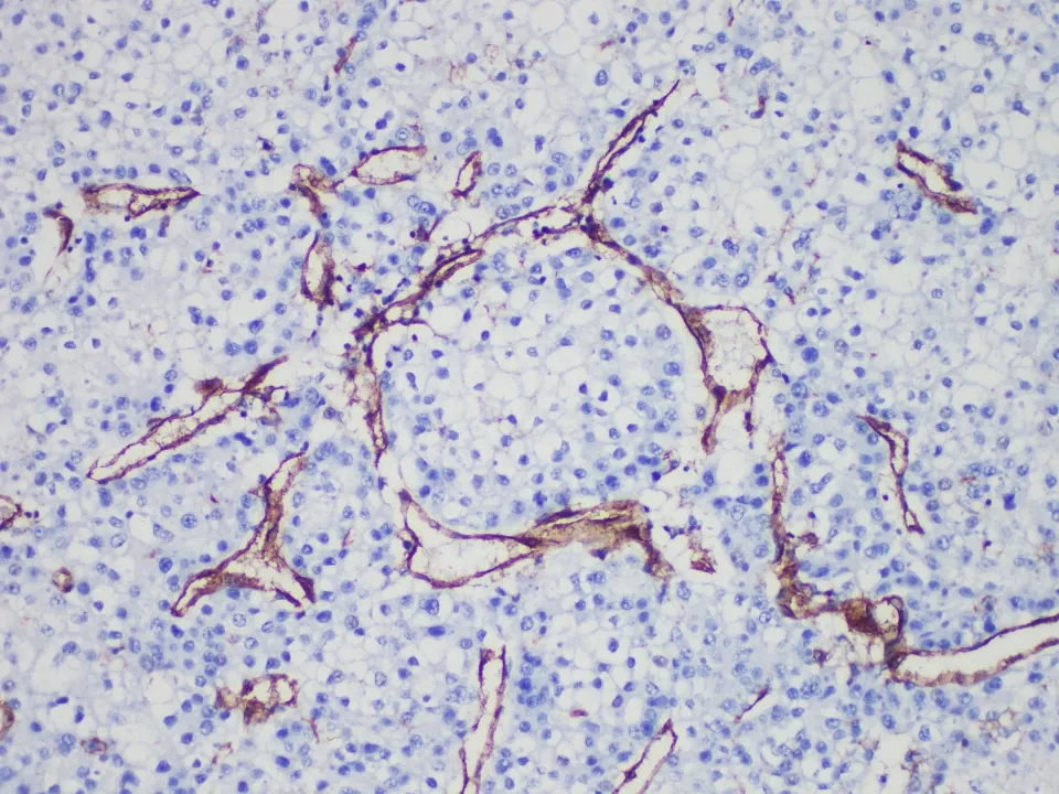
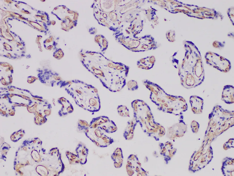
| CD31 | ![]() | ![]() | ![]() | ![]() | ![]() | ||
| Production analysis | WB | IF | IHC 人肝癌 | IHC 人胎盘 |
请随时与我们联系以获取更多信息或详细报价






