
免疫组化二抗检测系统
EnkiLife研发的免疫组化二抗检测系统是一种高效、灵敏的免疫组化(IHC)检测试剂盒,专为检测福尔马林固定、石蜡包埋(FFPE)或冰冻组织切片中的抗原而设计。该系统通过优化二抗与HRP酶的结合,显著提高了检测的灵敏度和特异性,其中Polymer-HRP这种独特的标记方式极大地提高了信号强度和检测灵敏度,同时减少了背景染色,操作简便、稳定性强。适用于多种组织类型和抗原的免疫组化染色。
产品优势
1. 试剂配套更全面
我司研发的IHC试剂盒包含了IHC实验所需的灭活剂、封闭液、酶标二抗、DAB,这种一站式解决方案为IHC实验提供了极大的便利,尤其适合新手用户。
2. 操作简便
试剂盒内的试剂基本为即用型,操作时直接滴加,孵育时间短。
3. 高特异性和灵敏度
EnkiLife的IHC试剂盒采用优化的配方和高质量的试剂,能够提供高特异性和高灵敏度的检测结果。
4. 广泛的适用性
EnkiLife的IHC试剂盒适用于多种样本类型,包括石蜡切片、冰冻切片和细胞爬片。这种广泛的适用性使得用户可以在不同的实验条件下使用同一种试剂盒,减少了实验成本和时间。
5. 技术支持和质量保证
EnkiLife作为专业的生命科学试剂供应商,提供全面的技术支持和质量保证。用户在使用过程中遇到任何问题,都可以获得及时的技术支持和解决方案。
产品列表
| 产品名称 | 货号 | 规格 |
|---|---|---|
| HRP Anti-Mouse/Rabbit IHC Detection System (DAB solution) | RA10006 | 6mL/30mL/100mL |
| Polymer-HRP Anti-Mouse/Rabbit IHC Detection System(DAB solution) | RA10007 | 6mL/30mL/100mL |
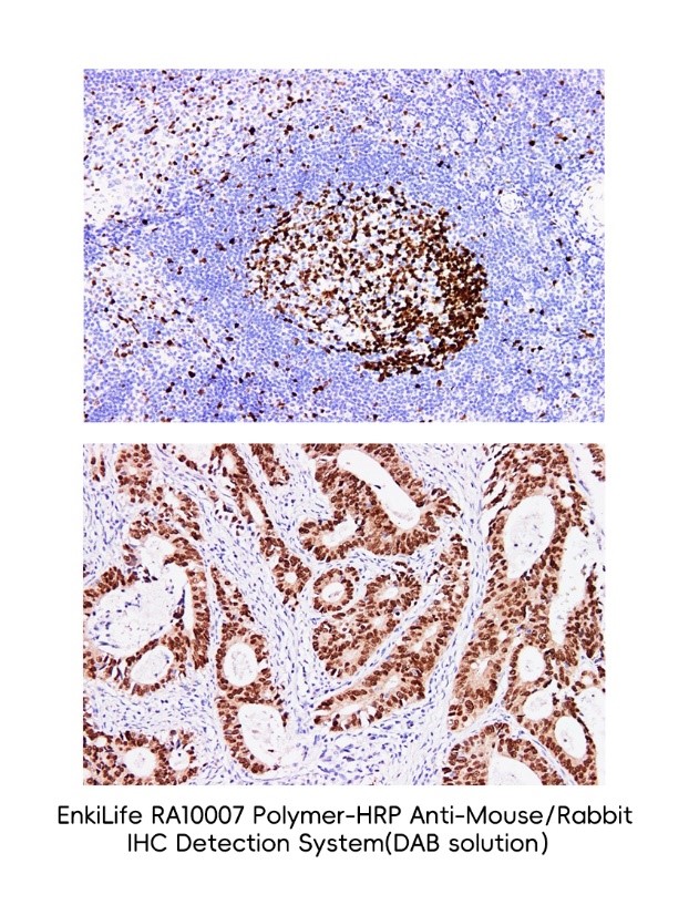
实验原理与结果展示
实验原理

结果展示


