产品核心优势
极致高效
实验时间从传统1-2天缩短至最快3.6小时,效率提升300%,为科研人员节省宝贵时间
即用型设计
包含完整实验所需绝大部分试剂与耗材,仅需自备水、乙醇/甲醇和抗体,实验准备时间减少80%
卓越性能
优化的试剂配方确保高灵敏度(fg级)和低背景,条带清晰锐利,结果稳定可靠
结果一致性
优化的试剂配方和标准化流程确保实验批次间高度一致性,减少重复实验,提升数据可靠性
实验安全
即用预制胶,无异味缓冲液,避免接触丙烯酰胺等有毒试剂
实验步骤时间对比
与传统Western Blot实验相比,每个步骤都显著节省时间
样本准备与电泳
转膜与封闭
抗体孵育与检测
* 使用预制胶节省了凝胶制备时间,可直接开始实验
总时间:传统WB约24-48小时 → EnkiLife快速WB仅需3.6-4小时
整体性能对比
EnkiLife 4h快速WB试剂盒与传统WB实验的综合对比
| 对比项目 | 传统WB实验 | EnkiLife 4h快速WB试剂盒 |
|---|---|---|
| 实验总时间 | 24-48小时 | 3.6-4小时 节省85% |
| 实验步骤复杂度 | 高(需自行配制多种溶液) | 低(即用型试剂,简化流程) |
| 所需自备试剂 | 15种以上 | 仅需水、乙醇/甲醇和抗体 |
| 结果一致性 | 中等(受操作者影响大) | 高(标准化流程和试剂) |
| 背景干扰 | 中等偏高 | 极低(优化封闭液和洗涤液) |
| 新手友好度 | 低(需丰富经验) | 高(详细指导,简化操作) |
| 实验成本 | 中等(但失败率高) | 优化(减少重复实验) |
产品规格与组分
试剂盒提供15T、30T和90T多种规格,满足不同实验需求
| 试剂盒组分 | 保存条件 | 产品规格(90T) | 产品规格(30T) | 产品规格(15T) |
|---|---|---|---|---|
| 蛋白上样缓冲液(5X) | -20℃ | 0.5ml | 0.2ml | 0.1ml |
| 预染Marker(10-180kDa) | -20℃ | 60ul | 20ul | 10ul |
| 预制胶(Bis-Tris, 4-20%,15孔) | 4℃ | 6块 | 2块 | 1块 |
| 电泳缓冲液颗粒 | RT | 6袋(500ml/袋) | 2袋(500ml/袋) | 1袋(500ml/袋) |
| PVDF膜(0.45um) | RT | 6片 | 2片 | 1片 |
| 免滤纸转膜海绵垫 | RT | 12片 | 4片 | 2片 |
| 快速转膜液颗粒 | RT | 6袋(1L/袋) | 2袋(1L/袋) | 1袋(1L/袋) |
| 无蛋白快速封闭液 | 4℃ | 60ml | 20ml | 10ml |
| 抗体稀释液 | 4℃ | 50ml | 20ml | 10ml |
| 洗涤液(10X) | 4℃ | 40ml | 14ml | 7ml |
| ECL发光液A | 4℃ | 3.5ml | 1.2ml | 0.6ml |
| ECL发光液B | 4℃ | 3.5ml | 1.2ml | 0.6ml |
有效期说明:
蛋白上样缓冲液及预染Marker在-20℃保存、其他试剂4℃保存,有效期1年;本套试剂盒全部试剂若在4℃保存,有效期至少3个月。
预制胶需4ºC保存,切勿置于0ºC以下
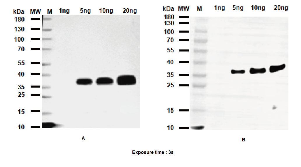
性能对比数据


A组:EnkiLife试剂盒结果 | B组:竞品试剂盒结果
第三方测试结果
为保证实验的公平性,本组实验由我司委托第三方开展,实验步骤均参考各自试剂盒说明书进行。
测试条件:
- 样本:哺乳系统表达的重组His-METRNL蛋白(30.7kDa)
- 上样量:80ng、20ng、10ng、5ng、1ng
- 一抗稀释比:1:1000
- 二抗稀释比:1:5000
- 相同Marker作为标准
结论:
- A组背景更加干净,B组有轻微背景
- A、B组均能检测到清晰条带,同时均检测到一条杂带
- A组样本条带更加清晰粗壮,便于观察
- A组重复实验条带位置和强度高度一致,B组存在轻微差异
注意事项
- 预制胶需4ºC保存,切勿置于0ºC以下
- ECL发光液A和B取用时一定要更换吸头,以免相互混入导致试剂失效
- 为节省时间,可在实验等待期间配制下一步实验所需试剂
- 本试剂盒中ECL工作液灵敏度为fg级,请根据实验需求调整曝光时间
- 转膜过程中务必确保胶与膜之间无气泡,否则会影响转膜效率
- 抗体孵育时间可根据信号强度适当延长或缩短
- 不同蛋白样本的最佳上样量可能不同,建议进行预实验确定最佳条件
- 建议使用新鲜配制的转膜液和电泳液以保证最佳效果