产品概述
从细胞或组织中提取到完整的蛋白质样品是影响免疫印迹分析(Western blotting,WB)得到真实可靠结果的关键因素之一。本产品是专为获取完整蛋白质样本而设计的革命性解决方案,突破传统RIPA裂解液及超声破碎的技术局限,可以快速完整的提取细胞和组织中蛋白质,并有效保护蛋白质的化学修饰,尤其适用于大分子蛋白及翻译后修饰蛋白的提取,为Western blot等蛋白质分析实验提供优质样本保障。
产品组分
规格 | 组分A | 组分B |
RC0005-S | 40 μL | 20 mL |
RC0005-M | 100 μL | 50 mL |
RC0005-L | 200 μL | 100 mL |
产品特性
• 完整抽提大分子蛋白质。
• 保护蛋白质翻译后修饰(如磷酸化、糖基化、泛素化、甲基化和乙酰化)。
• 一步到位,无需添加酶抑制剂。
• 兼容细胞与组织样本。
验证数据
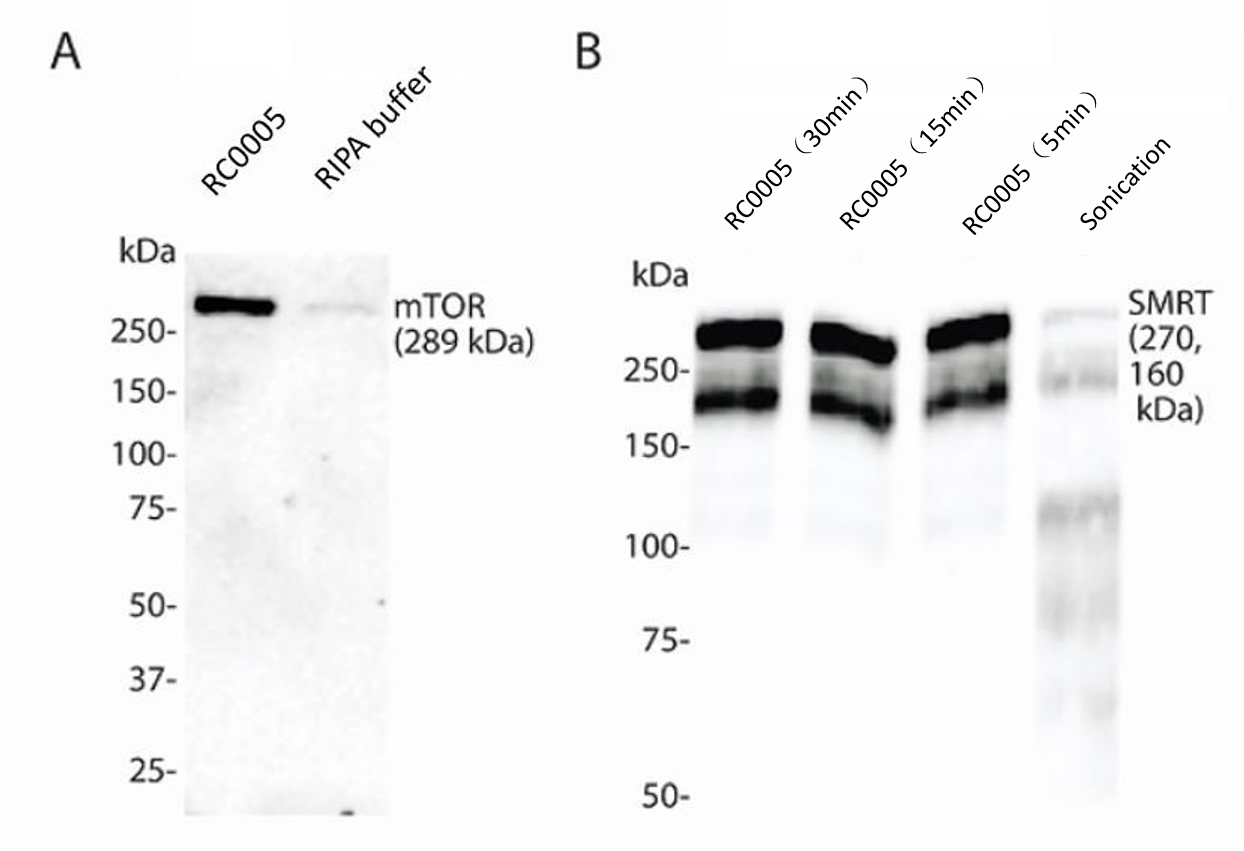
• 大分子蛋白提取对比实验

图A:分别使用RC0005裂解液和RIPA buffer裂解HeLa细胞,并使用mTOR(289 kDa)抗体进行蛋白免疫印迹,裂解物上样量为50μg,结果显示RC0005处理后的大分子蛋白丰度更高。
图B:分别使用RC0005裂解液(分别裂解30min、15min、5min)和超声方案对HT1080细胞进行裂解,并用SMRT抗体(270,160 kDa)进行蛋白免疫印迹,裂解物上样量为50μg,结果显示超声处理将SMRT破坏为多个小片段蛋白,RC0005在不同的处理时间下,都保留了蛋白的完整性。
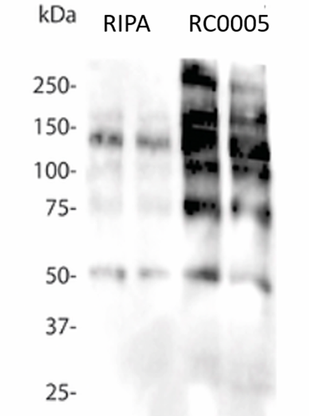
• 蛋白质翻译后修饰对比实验

分别使用RC0005和RIPA对Hela细胞进行裂解,用O-GlcNAc(糖基化)抗体对细胞裂解物进行蛋白免疫印迹(平行组),裂解物上样量为50μg,结果显示RC0005处理的样本糖基化修饰的蛋白丰度存在明显优势。
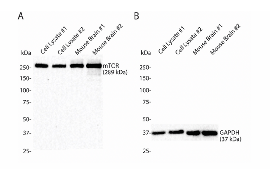
• 样本兼容性实验

图A:使用RC0005裂解 HeLa 细胞和小鼠大脑组织(各2组样本),用mTOR (289 kDa)抗体对裂解物进行免疫印迹,裂解物上样量为50μg。
图B:使用RC0005裂解 HeLa 细胞和小鼠大脑组织(各2组样本),用GAPDH(37kDa)抗体对裂解物进行免疫印迹,裂解物上样量为50μg。
数据显示RC0005对细胞样本和组织样本均有优秀的裂解效果,同时兼容不同大小的蛋白样本。
产品储存
试剂 A 存放于-20°C 冷冻条件,试剂 B 存放于室温或 4°C 冷藏条件。
注:若试剂 B 在 4°C 下长时间保存,可能会出现沉淀,这不影响产品质量。当移至室温下,沉淀会重新溶解。
产品应用
大分子蛋白的提取;修饰性蛋白(糖基化、磷酸化、泛素化等)的提取;免疫印迹分析